최근들어 인간의 수명 연장에 따라 고령화 질병의 발병률과 사망률이 급격한 증가 추세를 보이고 있다. 대표적인 뇌혈관질환인 뇌졸중은 현재 암 다음으로 사망순위 2위에 해당되며 노인이 걱정하는 질환 중 1순위에 해당된다.
현재 국가인정 기능성분이 면역력과 피로회복뿐인 인삼에 대해 농촌진흥청이 뇌신경보호효과 및 인지능 개선효과 구명 연구를 한 것도 이 때문이다.
인삼은 우리나라를 대표하는 문화유산의 하나로 최근 웰빙문화의 확산으로 인삼의 가치가 새롭게 부각되면서 미래성장 산업으로도 주목받고 있다.
농진청의 이 연구는 인삼의 뇌기능 개선효과 구명을 통해 인삼의 기능성을 증가시켜 뇌질환의 치료효과 뿐 아니라 인삼의 소비확대에도 기여할 수 있을 것으로 기대된다.
#연구결과
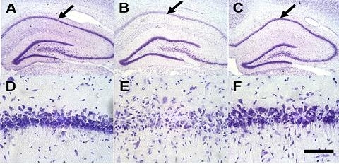
농진청의 인삼 뇌신경보호효과 및 인지능 개선효과 연구결과에 따르면 대뇌에서 최근 기억을 담당하는 해마(hippocampus)에서의 신경세포의 손상(B, E)은 인삼투여군(C, F)에 의해 거의 정상(A, D)과 같은 신경세포의 생존을 나타냈다.<사진>
또한 인삼의 뇌신경세포 손상 방어효과를 단위면적당 생존한 신경세포수를 계산한 결과 인삼의 효과는 정상군(control)에 가까운 86.4%(조추출물 200mg/kg)의 신경세포보호효과를 나타냈다.
가장 보편적으로 사용되는 공간학습 및 기억능력을 측정하는 Morris 수중미로 실험결과는 인삼을 투여한 그룹이 훈련기간에 형성된 기억에 대한 행동적 지표가 훈련 마지막날에 가장 빨리 도피대에 도착했다. 첫 번째 훈련기 동안의 습득 성적으로써 뇌졸중 유발후 인삼투여된 쥐가 도피대가 있던 기억을 더 잘하며 도피대가 있던 자리를 찾는 시간도 휠씬 빨랐다.
즉 전뇌허혈에 의한 공간 기억력 결핍에 대해 인삼에서의 신경보호효과가 뛰어난 것을 알 수 있었다.
#연구목표
농진청은 이 연구의 최종목표는 수세기동안 추적된 지식과 치료 경험이 있는 인삼에서 실험동물의 뇌허혈 모델을 사용, 중풍이나 퇴행성 뇌질환에 대한 예방 및 치료작용을 연구해 개발하는데 있다고 밝혔다.
[연구자 한마디]김영옥 농진청 국립원예특작과학원 인삼약초가공팀 박사
“이번 연구결과 인삼이 학습과 기억의 중추인 대뇌의 해마에서 뇌신경세포의 활성이 86.4%의 효과로 우수했으며 혈관성 치매와 뇌졸중의 치료에 좋은 효과가 있을 것으로 사료된다.”
- 기자명 김선희
- 입력 2009.10.07 10:00
- 수정 2015.06.26 17:00
- 댓글 0
